Salud y Belleza

Científicos descubren causas del avance del mal de Alzheimer en el cerebro

El nuevo estudio señala que si bien esa propagación puede ocurrir, de hecho no es el principal motor del avance de la enfermedad

29.10.2021

WASHINGTON, ESTADOS UNIDOS.- Grupos de proteínas tóxicas que se cree que son responsables del deterioro cognitivo asociado con la enfermedad de Alzheimer llegan tempranamente a diferentes regiones del cerebro y luego se acumulan durante décadas, según un nuevo estudio publicado el viernes.

La investigación, presentada en la revista Science Advances, es la primera en utilizar datos humanos para cuantificar la velocidad de los procesos moleculares de esa enfermedad neurodegenerativa y, eventualmente, podría tener importantes implicaciones para diseñar tratamientos.

LEA: ¿Qué dieta seguir tras ser diagnosticada con cáncer de mama?

También altera la teoría de que se forman grumos en un lugar del cerebro que desencadenan una reacción en cadena en otras áreas; un patrón que se observa en los ratones. Esa propagación puede ocurrir, pero no es el principal impulsor, según los investigadores.

'Se unieron dos cosas que realmente hicieron posible este trabajo', dijo a la AFP Georg Meisl, químico de la Universidad de Cambridge y autor principal del artículo.

'Una, fueron datos muy detallados obtenidos por PET (Tomografía por Emisión de Positrones) y varios conjuntos de datos que hemos reunido, y la otra son modelos matemáticos que hemos desarrollado en los últimos diez años'.

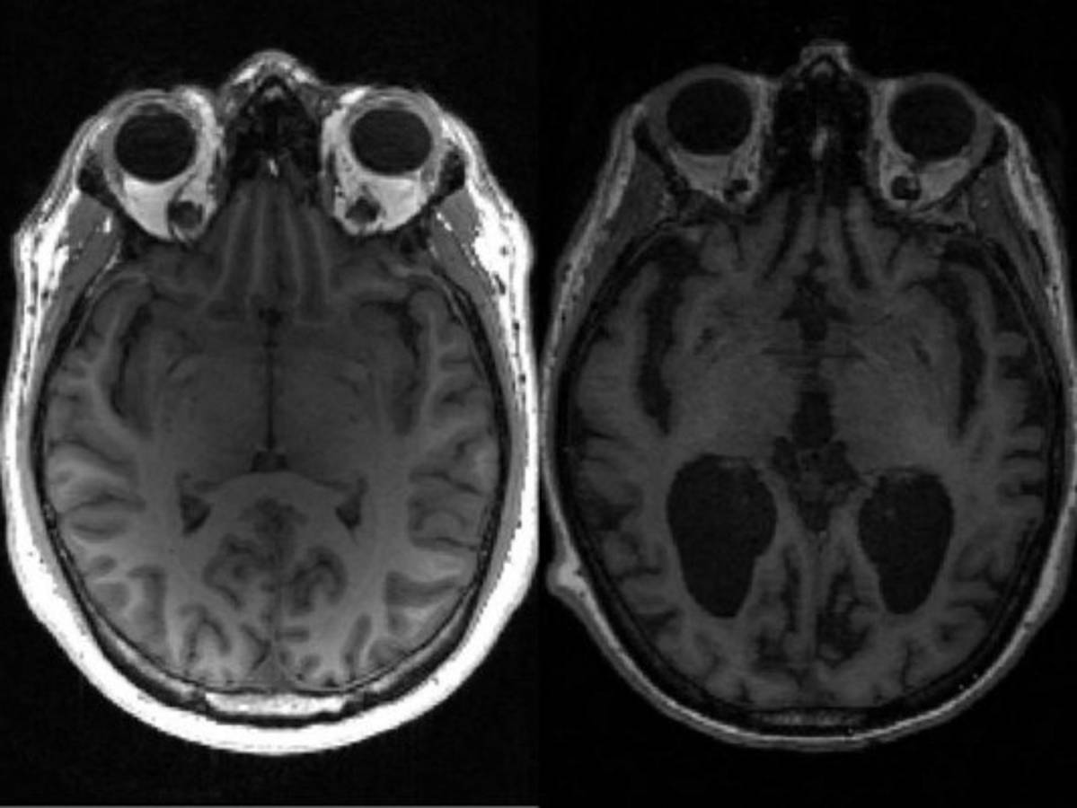
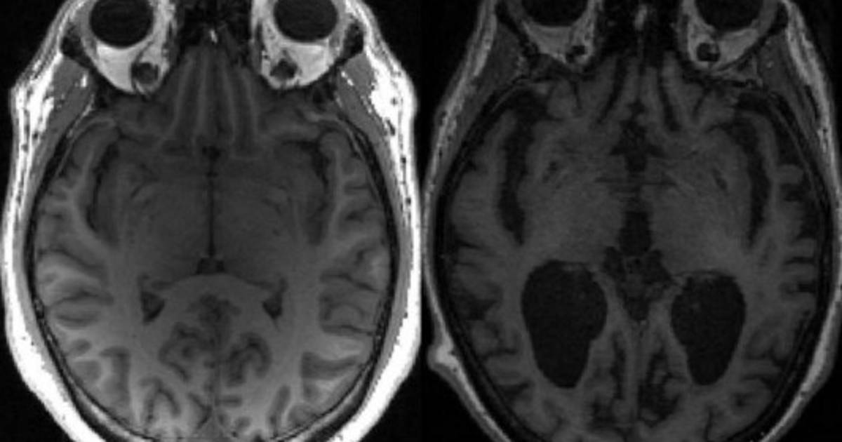
Los investigadores utilizaron cerca de 400 muestras cerebrales post mortem de enfermos de Alzheimer, así como 100 PET de personas que viven con la enfermedad para rastrear la acumulacion de tau, una de las dos proteínas clave implicadas en la afección.

LEA: Impacto psicológico del cáncer de mama: ¿cómo afrontarlo?

En la enfermedad de Alzheimer, tau y otra proteína llamada beta amiloide se acumulan en nudos y placas -conocidos ambos como agregados- que matan las células cerebrales y encogen el cerebro.

Esto, a su vez, se traduce en pérdida de memoria, cambios de personalidad e incapacidad para realizar funciones cotidianas. Se estima que 44 millones de personas padecen la enfermedad en todo el mundo.

Crecimiento exponencial

Investigaciones anteriores, realizadas principalmente en animales, sugerían que los agregados se forman en una región y luego se diseminan por todo el cerebro, de manera muy similar a como se extiende el cáncer.

El nuevo estudio señala que si bien esa propagación puede ocurrir, de hecho no es el principal motor del avance de la enfermedad.

'Una vez que se tienen esas semillas, pedacitos de agregados en el cerebro, ellas simplemente se multiplican y ese proceso controla la velocidad' de propagación, dijo Meisl.

ADEMÁS: Expertos recomiendan a mayores de 60 años no tomar aspirina diariamente

El estudio pudo determinar que los agregados demoran unos cinco años en duplicar su cantidad. Esa cifra es 'alentadora', según Meisl, porque muestra que las neuronas cerebrales de por sí son buenas para contrarrestar a los agregados.

'Quizás si conseguimos mejorarlo un poco, podríamos retrasar significativamente la aparición de una enfermedad grave'.

El grado de la enfermedad de Alzheimer se mide según la denominada 'Escala Braak'. El equipo encontró que lleva unos 35 años avanzar desde la etapa tres, cuando comienzan a aparecer síntomas leves, a la etapa seis, que es la más avanzada.

Si los agregados se duplican aproximadamente en cinco años, entonces en 35 años se habrían multiplicado por 128. Ese crecimiento exponencial 'explica porqué la enfermedad demora tanto en desarrollarse y luego la persona se deteriora rápidamente'.

Usando el mismo método, el equipo intenta investigar la demencia frontotemporal y las lesiones traumáticas cerebrales.

'Tau es una proteína culpable de numerosos tipos de demencia y tendría sentido explorar cómo se expande en enfermedades como la demencia frontotemporal', dijo Sara Imarisio, del instituto Alzheimer's Research UK.

'Esperamos que éste y otros estudios similares ayuden al desarrollo de futuros tratamientos que se dirijan a la tau, de modo que (ellos) tengan una mejor oportunidad de enlentecer el proceso de la enfermedad y sean beneficiosos para las personas con demencia'.