Cuidado de la piel
TEGUCIGALPA, HONDURAS.- La
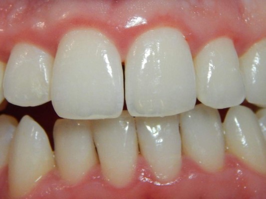
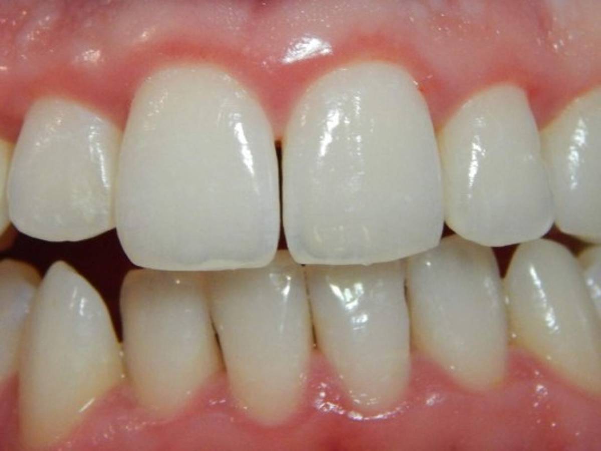
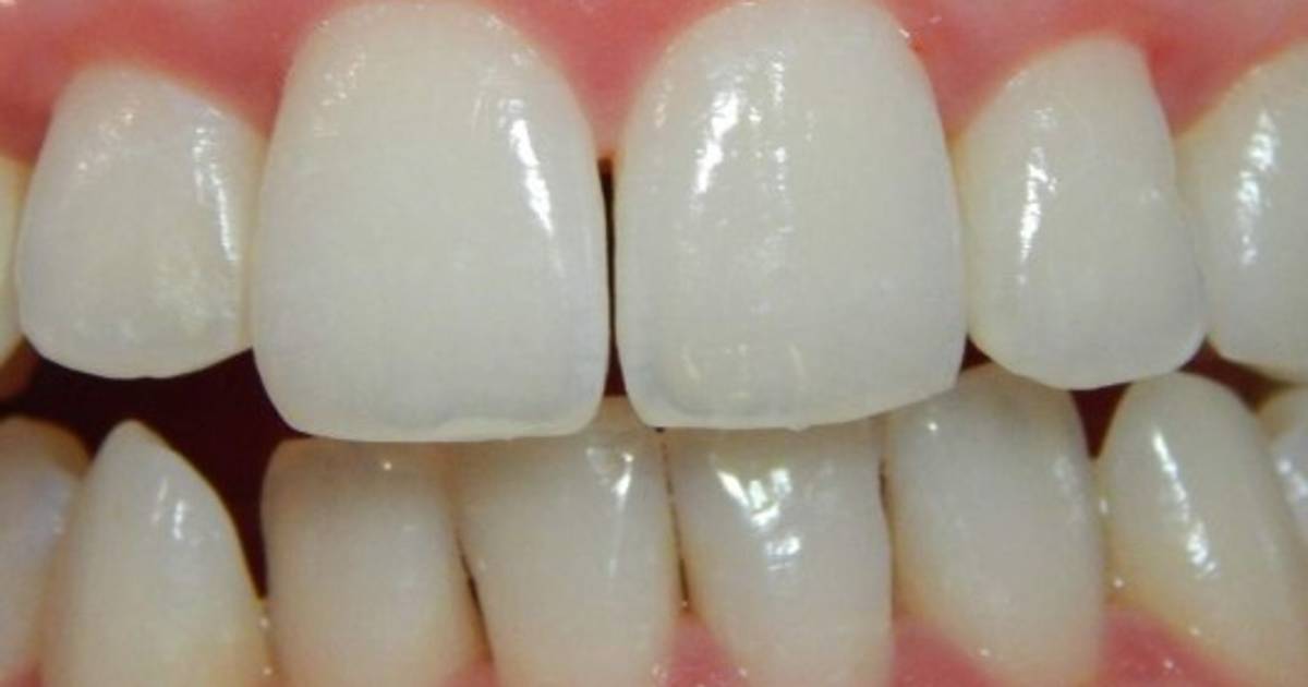
gingivits, una de las enfermedades bucales más comunes, es una inflamación de las encías que en su etapa inicial es fácil tratar.
La causa directa de la gingivitis es la placa, es decir una masa suave, pegajosa y sin color que está formada por bacterias entre los dientes y las encías.
En la primera etapa de la enfermedad puede revertirse, ya que el hueso y el tejido aún no han sido infectados, sin embargo, si no prestas atención a tiempo, la gingivitis puede transformarse en periodontitis y provocar daños a los dientes y mandíbula.
Otro de los síntomas es que las encías se retroceden o retiran de los dientes, haciendo ver a los dientes más alargados.
La gingivitis puede provocar la formación de bolsas entre los dientes donde se acumula la placa bacteriana y restos de comidas.
A otras personas esta enfermedad les puede provocar mal aliento.
-Cepillado correcto y uso apropiado del hilo dental para eliminar la placa, restos de alimentos y evitar la acumulación de sarro
-Alimentación correcta para asegurar la adecuada nutrición de su mandíbula y dientes
- Evitar el consumo de tabaco
-Visitar al dentista regularmente
La causa directa de la gingivitis es la placa, es decir una masa suave, pegajosa y sin color que está formada por bacterias entre los dientes y las encías.
En la primera etapa de la enfermedad puede revertirse, ya que el hueso y el tejido aún no han sido infectados, sin embargo, si no prestas atención a tiempo, la gingivitis puede transformarse en periodontitis y provocar daños a los dientes y mandíbula.
VEA: ¿Cómo blanquear los dientes en una hora?
¿Cómo detectarlo?
Los signos y síntomas más comunes son las encías rojas, hinchadas y sensibles que pueden sangrar cuando te cepillas los dientes.Otro de los síntomas es que las encías se retroceden o retiran de los dientes, haciendo ver a los dientes más alargados.
La gingivitis puede provocar la formación de bolsas entre los dientes donde se acumula la placa bacteriana y restos de comidas.
A otras personas esta enfermedad les puede provocar mal aliento.
ADEMÁS: 10 señales de advertencia para detectar el cáncer de piel
¿Cómo puedo prevenir la gingivitis?
Una buena higiene dental evitará cualquier tipo de enfermedad o bacterias que pueden provocar muchas enfermedades. Esto es lo que debes hacer:-Cepillado correcto y uso apropiado del hilo dental para eliminar la placa, restos de alimentos y evitar la acumulación de sarro
-Alimentación correcta para asegurar la adecuada nutrición de su mandíbula y dientes
- Evitar el consumo de tabaco
-Visitar al dentista regularmente