SAN ANTONIO DEL TÁCHIRA, Venezuela, - Tres mujeres murieron y otras cinco fueron hospitalizadas en Venezuela, cerca de la frontera con Colombia, después de que se rompieran las cápsulas con cocaína que transportaban en el estómago, informaron este viernes autoridades venezolanas.
Las mujeres fallecidas, que tenían entre 28 y 31 años, viajaban el jueves en un bus que se dirigía desde la fronteriza localidad de San Antonio hacia Caracas, dijo a la prensa Jesús Simancas, director de la policía del estado Táchira (oeste).
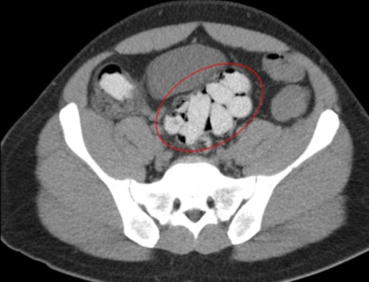
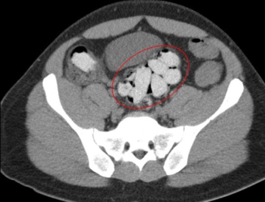
Fueron incautados, precisó Simancas, 111 dediles, lo que equivale 'aproximadamente a un kilo de cocaína'.
Las mujeres, todas de nacionalidad venezolana, venían desde Colombia y habrían recibido cada una 'unos 300 dólares' por transportar la sustancia, dijo por su parte a la AFP el comisario Richard Lossada.
Una de las víctimas murió en el autobús después de sufrir 'varias convulsiones' y las otras dos luego de ser trasladadas al Hospital Central de la capital del estado, San Cristóbal, según un informe policial al que tuvo acceso la AFP.
La situación llevó al 'desmantelamiento de una banda' de tráfico de drogas llamada 'Los Cocaineros', que transportaba 'dediles en material sintético latex', agrega el reporte.
Dos personas que viajaban con las ocho mujeres intoxicadas fueron detenidas, añadió la policía.
Las ocho pacientes ingresaron al hospital de San Cristóbal el jueves por la noche y 'traían dentro de su cuerpo dediles', confirmó a la AFP el subdirector de ese centro de salud, Edgar Suárez.
De las cinco sobrevivientes, tres se encuentran 'fuera de peligro', declaró.
Estados Unidos acusa a Venezuela, en medio de una grave crisis económica y política, de haberse convertido en 'un puente' para el tráfico de drogas. Colombia, según la ONU, es el mayor productor de cocaína del mundo.
Las mujeres fallecidas, que tenían entre 28 y 31 años, viajaban el jueves en un bus que se dirigía desde la fronteriza localidad de San Antonio hacia Caracas, dijo a la prensa Jesús Simancas, director de la policía del estado Táchira (oeste).
Fueron incautados, precisó Simancas, 111 dediles, lo que equivale 'aproximadamente a un kilo de cocaína'.
Las mujeres, todas de nacionalidad venezolana, venían desde Colombia y habrían recibido cada una 'unos 300 dólares' por transportar la sustancia, dijo por su parte a la AFP el comisario Richard Lossada.
Una de las víctimas murió en el autobús después de sufrir 'varias convulsiones' y las otras dos luego de ser trasladadas al Hospital Central de la capital del estado, San Cristóbal, según un informe policial al que tuvo acceso la AFP.
La situación llevó al 'desmantelamiento de una banda' de tráfico de drogas llamada 'Los Cocaineros', que transportaba 'dediles en material sintético latex', agrega el reporte.
Dos personas que viajaban con las ocho mujeres intoxicadas fueron detenidas, añadió la policía.
Las ocho pacientes ingresaron al hospital de San Cristóbal el jueves por la noche y 'traían dentro de su cuerpo dediles', confirmó a la AFP el subdirector de ese centro de salud, Edgar Suárez.
De las cinco sobrevivientes, tres se encuentran 'fuera de peligro', declaró.
Estados Unidos acusa a Venezuela, en medio de una grave crisis económica y política, de haberse convertido en 'un puente' para el tráfico de drogas. Colombia, según la ONU, es el mayor productor de cocaína del mundo.