Salud y Belleza

Investigadores identifican a un virus como detonador de la esclerosis múltiple

El descubrimiento genera esperanzas para el desarrollo de un posible tratamiento a futuro, que permitiría curar esta enfermedad
15.01.2022

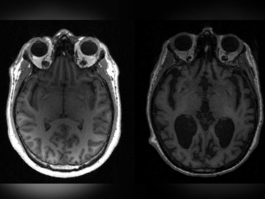
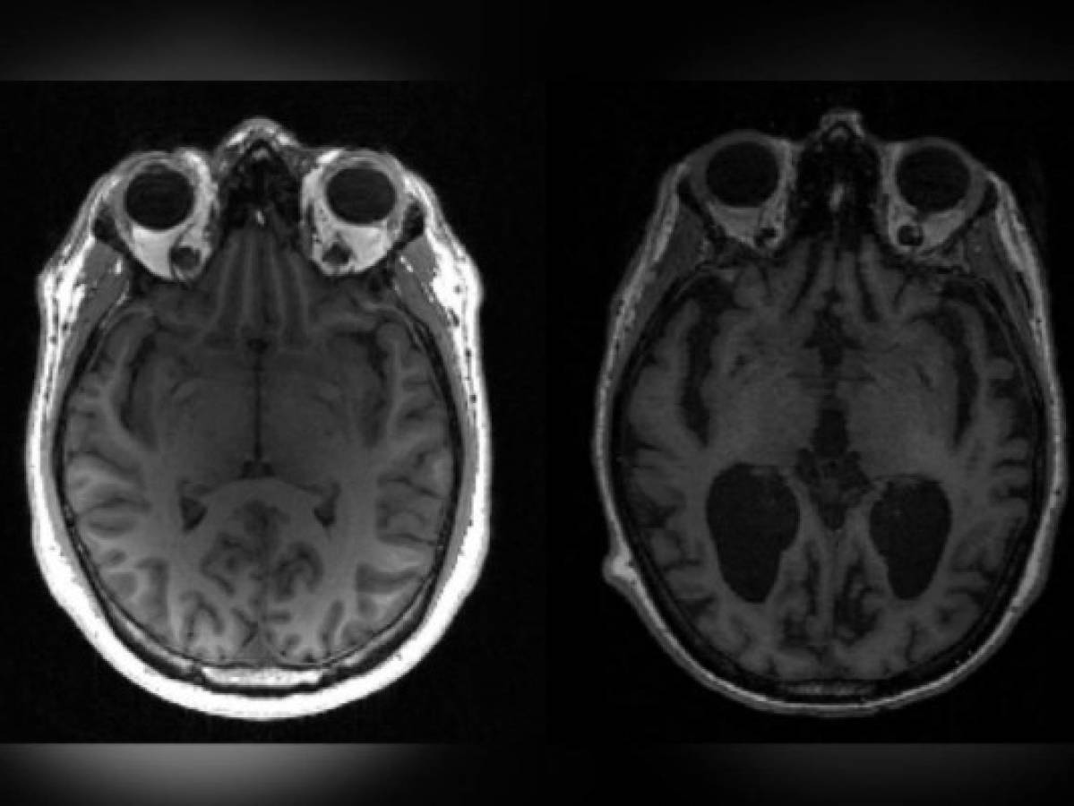
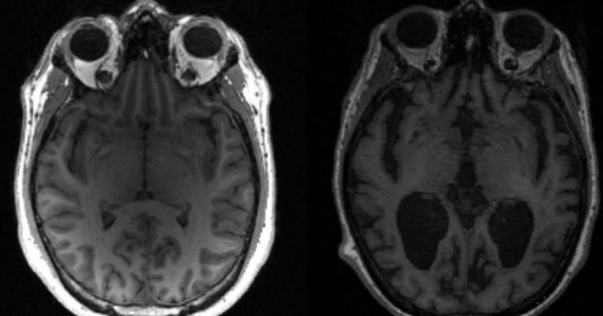
TEGUCIGALPA, HONDURAS.- La esclerosis múltiple es muy probablemente provocada por el virus de Epstein-Barr, según un nuevo estudio de investigadores estadounidenses que identificaron por primera vez una causa de esta enfermedad autoinmune.

El descubrimiento genera esperanzas para el desarrollo de un posible tratamiento a futuro, que permitiría curar esta enfermedad que afecta a unas 2,8 millones de personas en el mundo.

Alrededor de 95% de los adultos han sido infectados por el virus de Epstein-Barr (EBV), que puede provocar otras enfermedades, como la mononucleosis.

El estudio, publicado esta semana en la prestigiosa revista Science, muestra que el virus es necesario al desarrollo de la esclerosis múltiple, aunque todas las personas infectadas no desarrollan la enfermedad.

VEA: Identifican en la piel humana decenas de bacterias, hongos y virus desconocidos

La hipótesis era estudiada desde hace varios años, pero era difícil de demostrar ya que el virus es muy común, y los síntomas de la enfermedad comienzan hasta 10 años después de la infección.

Es 'la primera investigación que entrega una prueba convincente de causalidad', declaró Alberto Ascherio, autor principal y profesor de epidemiología en la escuela de salud pública de Harvard.

'Es un paso importante, porque sugiere que la mayoría de los casos de esclerosis múltiples podrían ser impedidos al parar la infección del virus de Epstein-Barr', agregó en un comunicado. 'Apuntar al virus podría conducir al descubrimiento de un remedio'.

Los investigadores dieron seguimiento durante más de 20 años a 10 millones de jóvenes adultos del ejército estadounidense, de los que 955 fueron diagnosticados con esclerosis múltiple durante el servicio.

Según el estudio, el riesgo de contraer la esclerosis múltiples se multiplica por 32 tras haber sido infectado por el virus de Epstein-Barr, pero no varía tras la infección por otros virus.

De acuerdo con investigadores de la universidad de Stanford, que publicaron un comentario del estudio en la revista Science, otros factores, por ejemplo genéticos, podrían jugar un papel en el hecho de desarrollar o no la enfermedad.

ADEMÁS: Una combinación entre ómicron y delta: así sería la nueva variante Deltacron

La esclerosis múltiple es una enfermedad autoinmune del sistema nervioso central (cerebro y médula espinal). Provoca un disfuncionamiento del sistema inmunitario, que ataca a la mielina, que protege las fibras nerviosas.

Evolucionando por etapas, la enfermedad es muy variable de un paciente a otro, pero puede conllevar secuelas, y es causa frecuente de discapacidad entre jóvenes adultos.

La empresa estadounidense Moderna anunció la semana pasada haber iniciado ensayos clínicos en humanos de una vacuna contra el virus de Epstein-Barr.

LE PUEDE INTERESAR: Aléjese de las personas tóxicas, a su salud no le hace bien

Tags:
|