Mundo

Lo que podría aumentar riesgo de cáncer de pulmón

Estudios clínicos recientes sugieren que los antioxidantes no tienen ningún efecto para prevenir el cáncer de pulmón en particular.

29.01.2014



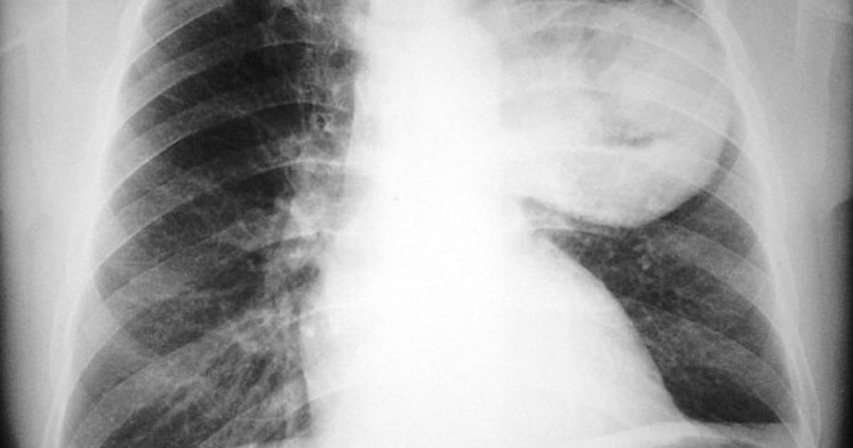
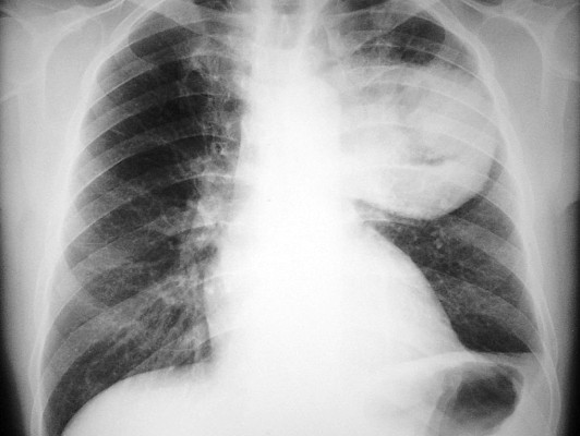
Las personas que fuman o tienen cáncer de pulmón deberían pensar dos veces antes de tomar suplementos vitamínicos, según un estudio divulgado el miércoles que mostró que ciertos antioxidantes pueden impulsar el crecimiento de tumores malignos.

Los suplementos de vitaminas antioxidantes aceleran el desarrollo de las lesiones precancerosas y el cáncer de pulmón en etapa precoz, indicó este estudio sueco publicado en la revista médica estadounidense Science Translational Medicine, que aclara por primera vez este mecanismo.

Los antioxidantes, como las vitaminas A, C y E, permiten neutralizar los radicales libres producidos por el organismo que son perjudiciales debido a que su alto poder oxidante puede dañar las células, acelerar el envejecimiento y causar cáncer.

Durante mucho tiempo los científicos creyeron que los antioxidantes podían ayudar a prevenir los tumores cancerígenos, pero varios estudios clínicos recientes sugieren que no tienen ningún efecto para prevenir el cáncer de pulmón en particular.

Peor aún, pueden incluso aumentar el riesgo en grupos vulnerables, como los fumadores.

La razón de esta paradoja era desconocida hasta ahora, dijo el profesor Martin Bergö, de la Universidad de Gotemburgo, Suecia, autor principal de este trabajo.