<div id='DTElementID-650978' class='WebText'></div>
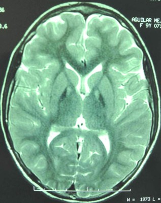
Francelia Mejía posa para el lente de EL HERALDO junto a su sobrina Daniela y su hija Sabini Nicol Aguilar. 6 Sabini lucha contra un enemigo desconocido
Reunión Honduras obtiene por primera vez la presidencia pro tempore de la OEA contra trata de personas
¿En qué ha gastado la administración de Juan Diego Zelaya el presupuesto para la alcaldía del Distrito Central?
Mayra Oyuela reivindica la voz femenina en la literatura hondureña: “Hemos roto los diques de la censura”