Honduras

Honduras, uno de los países que no atiende la alarma ante zika   

Mientras que las autoridades hondureñas de Salud descartan la alerta, países de Latinoamérica muestran pánico por el zika y su nexo con microcefalia en bebés.


FOTOGALERÍA
22.01.2016

Tegucigalpa, Honduras
La alerta está dada y muchos países ya han comenzado a tomar medidas drásticas como pedir a la mujeres no embarazarse entre 2016 y parte del 2017, o por lo menos mientras exista el brote de Zika, por el riesgo de que sus bebés nazcan con alguna malformación congénita o con microcefálea.

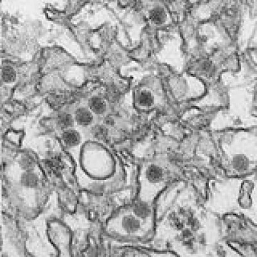
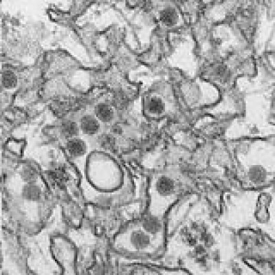
Y es que según la Organización Panamericana de la Salud (OPS) relaciona el nacimiento de bebés con malformaciones congénitas, como la microcefalia (cabeza pequeña), a madres en cuyo primer trimestre de embarazo contrajeron zika.

El mismo gobierno estadounidense recomendó a las mujeres embarazadas que no viajen a los países latinoamericanos donde hay brotes de zika, por el mismo riesgo de la microcefálea.

La recomendación hecha por el Centro para el Control y Prevención de Enfermedades, con sede en Atlanta, abarca 14 países y territorios de las Américas en los que se ha detectado el virus.

Entre los que prefieren 'prevenir que lamentar' está uno de nuestros vecinos más cercanos: El Salvador; tambiéen en sudamérica países como Bolivia y Brasil hacen lo propio contra este padecimiento. Brasil de hecho intenta desarrollar una vacuna contra los virus del zika y dengue, informó el jueves la presidenta Dilma Rousseff.

La mandataria dijo que el Ministerio de Salud trabaja con laboratorios brasileños y extranjeros para obtener una vacuna contra los virus del dengue y zika, que son transmitidos por el mosquito Aedes aegypti. Y después de meses de especulaciones, esta semana científicos brasileños confirmaron que el zika se contagia de madre a hijo a través de la placenta.

En ese país también relacionaron el virus del zika con el surgimiento de múltiples casos de microcefalia, una rara malformación que hace que el cerebro no se desarrolle adecuadamente. Además, los científicos también estudian un posible vínculo del zika con el síndrome de Guillain-Barré, que causa una parálisis que puede ser irreversible.

En Brasil relacionan el virus del zika con el surgimiento de múltiples casos de microcefalia,



En tanto en Colombia, el viceministro de Salud, Fernando Ruiz, buscó aliviar temores: 'Todavía la relación de la microcefalia y (el síndrome de) Guillain-Barré con el zika debe considerarse como una relación sospechosa, no como una certeza, hasta tanto no existan estudios a profundidad', recordó.

Mientras tanto en Honduras las autoridades aseguran que “En estos momentos no existe la información suficiente como para confirmar que la enfermedad de zika causa microcefalia o Guillain Barré, hasta el momento solo se habla de que existe una relación, eso solo es un paso previo, nosotros llamamos a la prevención contra el zancudo, pero un embarazo es decisión de cada pareja”, afirmó el viceministro de Salud, Francis Contreras.

¿Cree usted Honduras deba tomar la medida de prohibir los embarazos? .