Deportes

FOTO: Erick Andino sufre doble fractura tras falta recibida por Gerson Chávez

El atacante de Motagua resultó lesionado este domingo en el clásico ante Real España en el Olímpico

Motagua
Motagua
FOTOGALERÍA
04.08.2019

TEGUCIGALPA, HONDURAS.- El atacante de Motagua Erick Andino sufrió una doble lesión este domingo en el duelo ante Real España, disputado en el estadio Olímpico de San Pedro Sula.

Andino, quien entró al 65' por Walter Martínez, tuvo que salir en camilla minutos más tarde tras sufrir una barrida por parte del jugador españolista Gerson Chávez.

Foto: El Heraldo

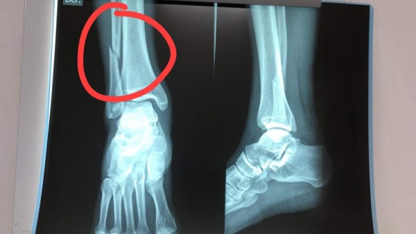
Estas son las radiografías del futbolista de Motagua, Erick Andino.
Pese a la intensidad de la falta, el árbitro Nelson Salgado solamente le sacó tarjeta amarilla a Gutiérrez, acto que desató la ira en el cuerpo técnico y hasta en la directiva de Motagua, pues a través de las redes sociales mostraron su descontento al detallar la gravedad de la lesión.

Eduardo Atala, presidente del Motagua, se descargó en Twitter tras la derrota contra la Máquina, sobre todo por la lesión no solo de Erick Andino, sino también la de Héctor Castellanos.

'Desastre de juego, no voy a justificar a Motagua, pero si el árbitro pone orden desde el inicio la historia es diferente, no solo perdimos el juego perdimos dos jugadores importantes por lesiones y por bastante tiempo. Falta por atrás a Erick y pronóstico pesimista y saca amarilla', escribió Atala en un tuit.

El mandatario de los Azules le envió un mensaje directo a Elías Burbara, presidente de Real España: 'Andino doble fractura, y creen que el árbitro solo pitó en contra, dejen de especular el árbitro pitó mal porque es malo, estas son las consecuencias de no tener autoridad en la cancha'.

Real España ganó 1-0 a Motagua con gol al minuto 99', luego que el réferi diera 8 minutos de tiempo extra (al final se jugaron 10).

Tags: