Estudios revelan que personas con daño cerebral muestran cierta percepción

Un estudio grande publicado recientemente en The New England Journal of Medicine sugiere que una cuarta parte de ellos están conscientes

  • Actualizado: 27 de agosto de 2024 a las 00:00
Estudios revelan que personas con daño cerebral muestran cierta percepción

Por Carl Zimmer/ The New York Times

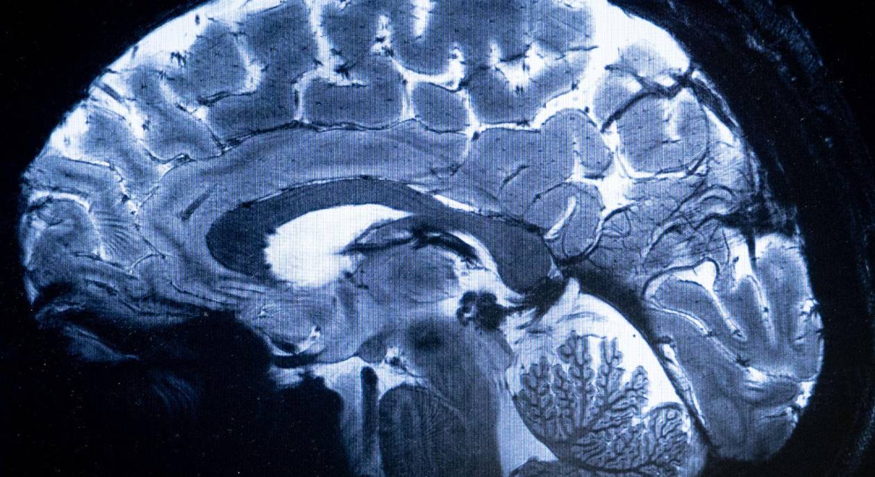
Cuando las personas sufren daño cerebral severo —por ejemplo, como resultado de accidentes automovilísticos, caídas o aneurismas— pueden caer en coma durante semanas, con los ojos cerrados y el cuerpo sin responder.

Algunos se recuperan, pero otros entran en un estado misterioso: con los ojos abiertos, pero sin indicios claros de conciencia. Cientos de miles de estos pacientes tan sólo en Estados Unidos son diagnosticados en estado vegetativo o mínimamente conscientes. Pueden sobrevivir durante décadas sin recuperar una conexión con el mundo exterior.

Estos pacientes plantean un misterio agonizante. ¿Será posible que aún estén conscientes? Un estudio grande publicado recientemente en The New England Journal of Medicine sugiere que una cuarta parte de ellos lo están.

Los neurólogos en seis centros de investigación pidieron a 241 pacientes que no respondían que pasaran varios minutos seguidos realizando complejas tareas cognitivas, como imaginarse jugando tenis. El veinticinco por ciento de ellos respondió con los mismos patrones de actividad cerebral observados en personas sanas, sugiriendo que eran capaces de pensar y estaban al menos algo conscientes.

Nicholas Schiff, neurólogo en Weill Cornell Medicine en la ciudad de Nueva York y un autor del estudio, dijo que éste muestra que hasta 100 mil pacientes tan sólo en Estados Unidos podrían tener algún nivel de conciencia a pesar de sus devastadoras lesiones.

Los resultados deben conducir a exámenes más sofisticados de personas con los llamados trastornos de la conciencia y a más investigación sobre cómo podrían comunicarse estos pacientes, dijo: “No está bien saber esto y no hacer nada”.

Cuando las personas pierden el conocimiento después de una lesión cerebral, los neurólogos tradicionalmente las diagnostican con un examen en cama. Pueden pedir a los pacientes que digan algo, que miren hacia la izquierda o hacia la derecha, o que levanten el pulgar. Un paciente que no responde podría ser diagnosticado como en estado vegetativo. A un paciente que sólo produce respuestas fugaces se le podría diagnosticar una conciencia mínima.

A partir de fines de la década de 1990, Schiff y sus colegas realizaron escaneos detallados del cerebro de pacientes con trastornos de la conciencia. Si bien muchos tenían daño masivo, otros tenían franjas sorprendentemente grandes de tejido intacto. Los neurólogos se preguntaban si al menos algunos de los pacientes todavía estaban “allí adentro” —y simplemente no podían avisar a nadie de ello.

En un estudio en el 2006, Adrian Owen, entonces en la Unidad de Ciencias del Cerebro y Cognición del Consejo de Investigación Médica, en Cambridge, Inglaterra, y sus colegas pidieron a una mujer diagnosticada en estado vegetativo que se imaginara jugando tenis. En respuesta, regiones de su cerebro se activaron, las mismas regiones que se activan en cerebros sin daño.

Los primeros estudios dejaron a los neurólogos preguntándose si esa condición —que Schiff llama disociación cognitivo-motora— era rara.

Los expertos comenzaron a colaborar en un sondeo en el 2008. Probaron a 241 pacientes que no respondieron a órdenes durante un examen tradicional. También hicieron que voluntarios sanos realizaran las mismas tareas.

Su análisis reveló que 60 pacientes mostraron señales de conciencia en resonancias magnéticas funcionales, registros de electrodos o ambas cosas.

Otro equipo de investigadores reportó recientemente que un paciente paralizado por esclerosis lateral amiotrófica, conocida como la enfermedad de Lou Gehrig, pudo comunicarse a través de un implante cerebral después de 30 minutos de entrenamiento.

Schiff sospecha que algunas personas con disociación cognitivo-motora probablemente podrán dominar estos implantes.

“Tenemos decenas de miles de personas así”, dijo. “Deberíamos hacer algo al respecto”.

© 2024 The New York Times Company

Te gustó este artículo, compártelo