Nuevo gabinete de Gobierno
Toma de posesión
Nuevo gobierno
logo-hamburguesa
  • EH Plus
    • Investigaciones
    • Data
    • EH Explica
    • Interactivos
  • Inicio
  • Honduras
  • EH Verifica
  • Economía
    • Dinero & negocios
    • Sendas del café
  • EH Ambiente
  • Brand Studio
    • De interés
    • Acontecer empresarial
    • Ediciones comerciales
  • Tegucigalpa
  • Fotogalerías
    • Honduras
    • Sucesos
    • Entretenimiento
    • Deportes
    • Tegucigalpa en fotos
    • Mundo
  • Entretenimiento
  • Sociales
  • Deportes
  • EH Trámites
  • Videos
  • Hondureños en el mundo
  • Opinión
    • Editorial
    • Columnistas
    • Héroe y Villano
    • Cartas al editor
    • Caricaturas
  • Apuntes
  • Trending
  • Utilidad
    • Tecnología
    • Salud y belleza
    • Sexo y pareja
    • Empleos
    • Motores
  • Revistas
    • Siempre
    • Crímenes
  • Buen provecho
  • Especiales
  • Documentos
  • Edición diaria
  • Edición PDF
  • El Heraldo
  • La Prensa
  • Diez
  • Revista Estilo
  • Buen Provecho
  • Revista E&N
  • Suscripción
  • Lo último
  • Honduras
  • Sucesos
  • Entretenimiento
  • Deportes
  • Mundo
  • Tegucigalpa
  • EH Plus
  • Videos
  • Fotogalerías
  • Edición PDF
  • Boletines
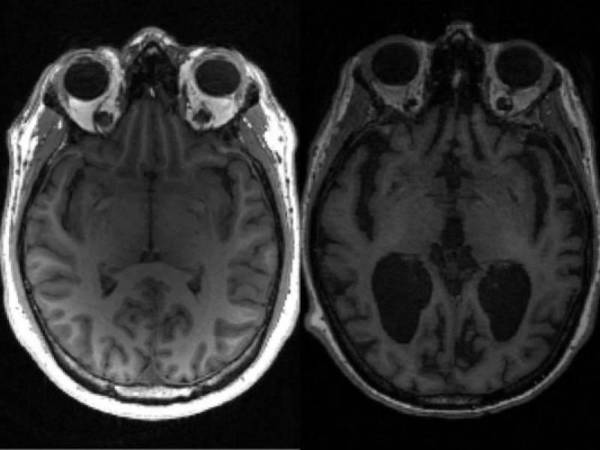
Los niveles altos de un biomarcador clave de la inflamación cerebral podría indicar desde temprano que una persona desarrollará alzhéimer.
Investigación

Científicos latinos en EEUU hallan un biomarcador que podría detectar temprano el alzhéimer

El estudio, el primero que indaga con detalle cuán pronto empieza a elevarse este biomarcador, "detecta la neuroinflamación que hay en la enfermedad"

  • Agencia EFE
23/09/2025
El cuerpo de don Santos Cristóbal Salgado Elvin, de 82 años, fue encontrado este domingo en una zona de difícil acceso en el sector de los reservistas de la colonia La Era, en Tegucigalpa. Lo que se conoce del lamentable hallazgo.
Lamentable

Tras 75 días de búsqueda, hallan muerto a don Santos Salgado en La Era; padecía alzheimer

El cuerpo de don Santos Cristóbal Salgado fue hallado en una zona boscosa de la colonia La Era de Tegucigalpa, apartada del camino lo que dificultó su ubicación

  • Redacción
10/08/2025
Phi Robertson sufrió de Alzheimer los últimos años de su vida.
Luto

Muere Phil Robertson, protagonista de "Duck Dynasty", a los 79 años

Phil Robertson padeció los últimos meses de vida de un problema sanguíneo que deterioró su salud, además también tenía Alzheimer, según confesó su hijo

  • Redacción
26/05/2025
A Sandra Demontigny, de 45 años, le diagnosticaron una rara forma de Alzheimer a los 39 años.
The New York Times

Sandra Demontigny, con Alzheimer y derecho a decidir su muerte en Quebec

  • The New York Times
20/05/2025
El artista español David Bisbal se une a la campaña Music Moments, impulsada por la Asociación contra el Alzheimer, con el propósito de sensibilizar sobre la incidencia de esta enfermedad entre los latinos mayores en Estados Unidos.
Cantante español

David Bisbal se une a la lucha contra el Alzheimer en la comunidad latina

David Bisbal se suma a la campaña Music Moments para visibilizar el impacto del Alzheimer en la comunidad hispana de Estados Unidos

  • Redacción
29/04/2025
Irene Mekel, de 82 años, descubrió hace un año que padece el mal de Alzheimer. En su sala, en un pueblo holandés. (Melissa Schriek para The New York Times)
The New York Times

Eutanasia y Alzheimer: la difícil elección de morir a tiempo

En Holanda, pacientes con Alzheimer buscan morir asistidos antes de perder su autonomía, enfrentando dilemas éticos y médicos en su derecho a decidir

  • The New York Times
26/02/2025
Northrop falleció el pasado viernes en el Motion Picture & Television Country House and Hospital en Woodland Hills, en California.
Luto

Fallece Wayne Northrop, actor de series como “Dinastía” y “Hotel”

En “Dinastía”, interpretó a Michael Culhane, chófer del magnate petrolero Blake Carrington, y también apareció en otras series como “L.A. Law”, “Hotel” o “Cold Case”

  • Agencia EFE
02/12/2024
En el marco del Día Mundial del Alzheimer, que se conmemora el 21 de septiembre, un estudio señaló que el consumo regular de frutas y verduras (ricas en antioxidantes que les confieren colores vivos) está fuertemente asociado con tener mejores funciones cognitivas y un menor riesgo de demencia o de Alzheimer. A continuación, los detalles.
Estudio

Las verduras de colores reducen el riesgo de padecer demencia y Alzheimer

Un reciente estudio señala que el consumo regular de frutas y verduras reduce el riesgo de demencia o de enfermedad de Alzheimer

  • Agencia EFE
17/09/2024
Un reciente estudio, en el marco del Día Mundial del Alzheimer que se conmemora el 21 de septiembre, señaló que el consumo regular de frutas y verduras (ricas en antioxidantes que les confieren colores vivos) está fuertemente asociado con tener mejores funciones cognitivas y un menor riesgo de demencia o de enfermedad de Alzheimer. A continuación, los detalles.
Estudio

Las verduras de colores reducen el riesgo de padecer demencia y Alzheimer

Un reciente estudio señala que el consumo regular de frutas y verduras reduce el riesgo de demencia o de enfermedad de Alzheimer

  • Agencia EFE
17/09/2024
José Raúl Espinoza fue encontrado el sábado en Santa Ana, pero falleció esta mañana en el Hospital Escuela. Su cuerpo presentaba golpes.
Hallazgo

Fallece maestro con Alzeheimer que se extravió en Santa Ana, Francisco Morazán

José Raúl Espinoza, de 84 años de edad, fue fundador del Copemh y expresidente de la Asociación Amistad Honduras-Cuba. Falleció en el Hospital Escuela

  • Interfaz
15/07/2024
Cargar más
logo footer eh
  • Facebook
  • X
  • Instagram
  • YouTube
  • TikTok
  • android PlayStore
  • AppStore
Secciones
  • EH Plus
  • Tegucigalpa
  • Honduras
  • Sucesos
  • Economía
  • EH Trámites
  • Opinión
  • EH Verifica
  • Fotogalerías
  • Deportes
  • Videos
  • Hondureños en el mundo
Boletines
  • Cruzando Fronteras
  • Conéctate
  • Noticias
  • Semana en imágenes
  • Buen Provecho
Suscríbete
  • Beneficio
  • Ingresar
  • Notificaciones
Grupo OPSA
  • El Heraldo
  • La Prensa
  • Diez
  • Revista Estilo
  • Buen Provecho
  • Revista E&N
  • Suscripción
Acerca de El Heraldo
  • Visión y Misión
  • Politicas de privacidad
  • Anúnciate con nosotros
  • Mapa del sitio
  • Kiosco
  • Preguntas frecuentes
  • Contáctenos
Edición impresa
En una magistral conducta abusiva Luis Redondo publica una ley sin que se aprobara

En una magistral conducta abusiva Luis Redondo publica una ley sin que se aprobara

sábado 31 de ene de 2026 Ediciones Anteriores
El Heraldo - Todos los derechos reservados ©