Trending

Olvido garrafal

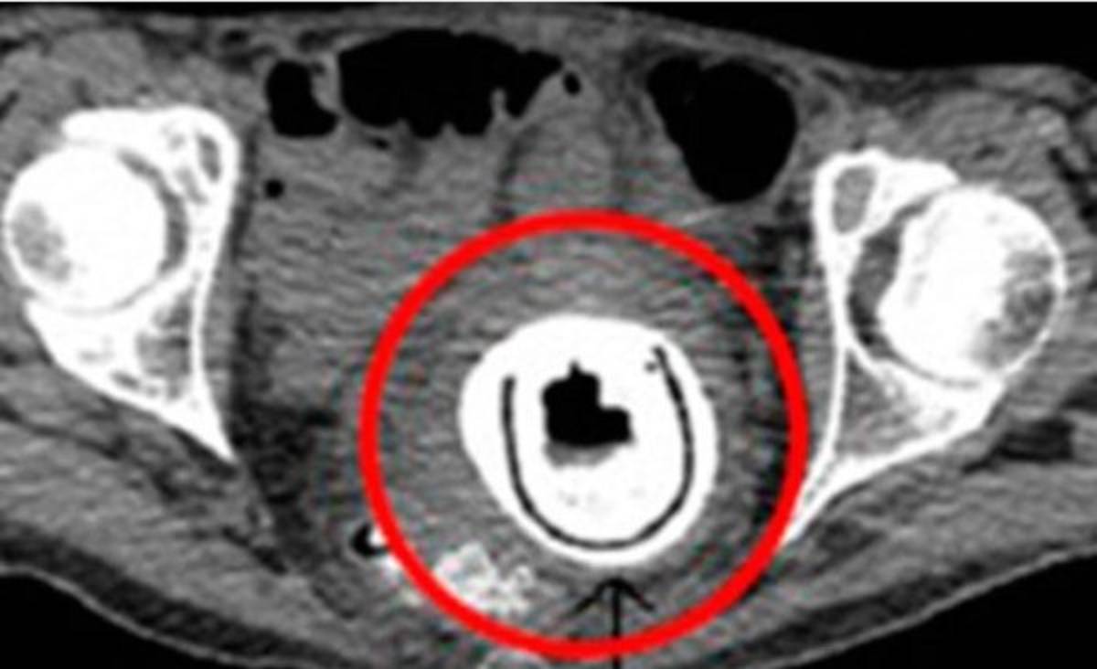
La fémina de 38 años acudió al doctor, quien no podía dar crédito a la imagen que mostraba la radiografía del abdomen.

26.07.2014

Tegucigalpa, Honduras

Una mujer escocesa vivió durante diez años con un juguete sexual en su vagina.

El artefacto de casi 13 centímetros de largo le provocó con el tiempo una infección severa, una considerable pérdida de peso e incontinencia urinaria.

La fémina de 38 años acudió al doctor, quien no podía dar crédito a la imagen que mostraba la radiografía del abdomen, en la que se apreciaba el juguete sexual incrustado.

La mujer, que debió soportar muchos años de malestar, dolor e incomodidad, fue sometida a una cirugía para tratarle una fístula vesicovaginal . Ahora ya no tiene el juguetito adentro y se recupera con éxito de las lesiones sufridas.

¿Y cómo fue que esto pasó?

Pues según concluyó la paciente, por un olvido. Todo comenzó en una noche de borrachera durante la cual se introdujo el artefacto y luego mantuvo relaciones sexuales sin haberlo retirado.

Es el primer caso de una mujer que mantiene un juguete sexual dentro de su cuerpo por tanto tiempo.