logo-hamburguesa
  • EH Plus
    • Investigaciones
    • Data
    • EH Explica
    • Interactivos
  • Inicio
  • Honduras
  • EH Verifica
  • Economía
    • Dinero & negocios
    • Sendas del café
  • EH Ambiente
  • Brand Studio
    • De interés
    • Acontecer empresarial
    • Ediciones comerciales
  • Tegucigalpa
  • Fotogalerías
    • Honduras
    • Sucesos
    • Entretenimiento
    • Deportes
    • Tegucigalpa en fotos
    • Mundo
  • Entretenimiento
  • Sociales
  • Deportes
  • EH Trámites
  • Videos
  • Hondureños en el mundo
  • Opinión
    • Editorial
    • Columnistas
    • Héroe y Villano
    • Cartas al editor
    • Foto del día
  • Apuntes
  • Trending
  • Utilidad
    • Tecnología
    • Salud y belleza
    • Sexo y pareja
    • Empleos
    • Motores
  • Revistas
    • Tictac
    • Siempre
    • Crímenes
  • Buen provecho
  • Especiales
  • Documentos
  • Edición diaria
  • Edición PDF
  • El Heraldo
  • La Prensa
  • Diez
  • Revista Estilo
  • Buen Provecho
  • Revista E&N
  • Suscripción
  • Lo último
  • Honduras
  • Sucesos
  • Entretenimiento
  • Deportes
  • Mundo
  • Tegucigalpa
  • EH Plus
  • Videos
  • Fotogalerías
  • Edición PDF
  • Boletines
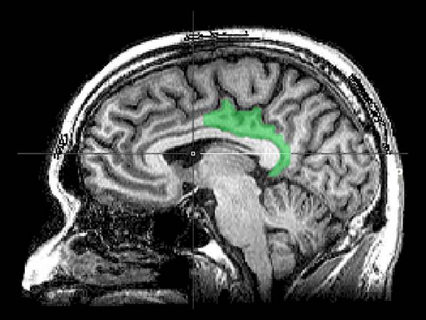
Una imagen de escáner cerebral resalta la corteza cingulada posterior.
The New York Times

El trastorno por estrés postraumático recuerda traumas como algo presente

Décadas de tratamiento a veteranos militares y sobrevivientes de agresión sexual han dejado pocas dudas de que los recuerdos traumáticos funcionan distinto a otros recuerdos

  • Redacción El Heraldo
12/12/2023
Megan Fox ha invertido alrededor de 60 mil dólares en cirugías estéticas.
PADECIMIENTO

Trastorno que impide que Megan Fox se sienta lo suficientemente bella

Durante muchos años, Megan Fox fue la actriz más codiciada de Hollywood, pero muy pocos conocen cuál es el problema que la aqueja desde hace años

  • Sofía Portillo
16/05/2023
logo footer eh
  • Facebook
  • X
  • Instagram
  • YouTube
  • TikTok
  • android PlayStore
  • AppStore
Secciones
  • EH Plus
  • Tegucigalpa
  • Honduras
  • Sucesos
  • Economía
  • EH Trámites
  • Opinión
  • EH Verifica
  • Fotogalerías
  • Deportes
  • Videos
  • Hondureños en el mundo
Boletines
  • Cruzando Fronteras
  • Conéctate
  • Noticias
  • Semana en imágenes
  • Buen Provecho
Suscríbete
  • Beneficio
  • Ingresar
  • Notificaciones
Grupo OPSA
  • El Heraldo
  • La Prensa
  • Diez
  • Revista Estilo
  • Buen Provecho
  • Revista E&N
  • Suscripción
Acerca de El Heraldo
  • Visión y Misión
  • Politicas de privacidad
  • Anúnciate con nosotros
  • Mapa del sitio
  • Kiosco
  • Preguntas frecuentes
  • Contáctenos
Edición impresa
Defensores de Honduras piden juicio contra cuatro altos funcionarios

Defensores de Honduras piden juicio contra cuatro altos funcionarios

viernes 20 de mar de 2026 Ediciones Anteriores
El Heraldo - Todos los derechos reservados ©