The New York Times international Weekly

El trastorno por estrés postraumático recuerda traumas como algo presente

Décadas de tratamiento a veteranos militares y sobrevivientes de agresión sexual han dejado pocas dudas de que los recuerdos traumáticos funcionan distinto a otros recuerdos

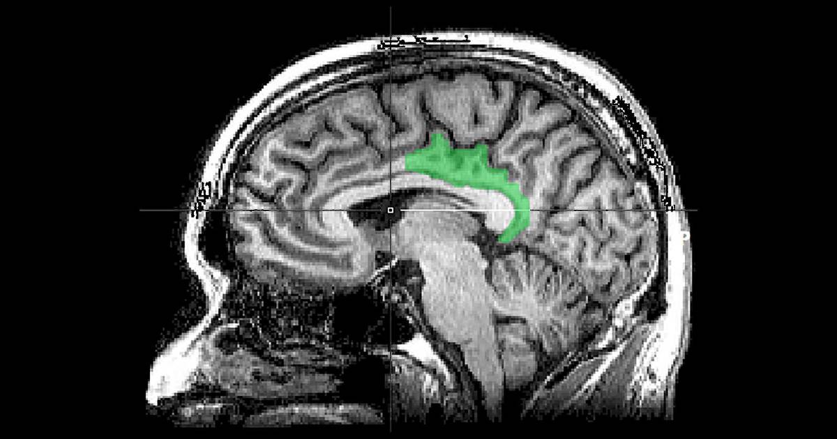
Una imagen de escáner cerebral resalta la corteza cingulada posterior.

mar 12 de diciembre de 2023 a las 0:0

Por Ellen Barry / The New York Times

La raíz del trastorno por estrés postraumático, o TEPT, es un recuerdo que no se puede controlar. Podría importunar las actividades cotidianas o aflorar como terrores nocturnos o flashbacks.

Décadas de tratamiento a veteranos militares y sobrevivientes de agresión sexual han dejado pocas dudas de que los recuerdos traumáticos funcionan distinto a otros recuerdos. Investigadores en la Universidad de Yale, en Connecticut, y la Escuela Icahn de Medicina en Mount Sinai, en Nueva York, se propusieron hallar evidencia empírica de esas diferencias.

El equipo realizó escáneres cerebrales de 28 personas con TEPT mientras escuchaban relatos grabados de sus propios recuerdos. Algunos de los recuerdos eran neutrales, algunos eran “tristes” y otros eran traumáticos.

Los escaneos arrojaron diferencias evidentes, reportaron los investigadores en un artículo publicado en la revista Nature Neuroscience. Quienes escucharon los recuerdos tristes, que a menudo involucraban la muerte de un familiar, mostraban de forma consistente mayor actividad del hipocampo, la parte del cerebro que organiza y contextualiza los recuerdos.

Cuando la misma gente escuchaba recuerdos traumáticos —de agresiones sexuales, incendios, tiroteos escolares y ataques terroristas— el hipocampo no estaba involucrado.

“El cerebro se halla en un estado diferente en los dos recuerdos”, explicó Daniela Schiller, coautora del estudio. Dijo que las terapias para TEPT con frecuencia buscaban ayudar a la gente a organizar su recuerdo para poder verlo como algo distante al presente.

“Ahora encontramos algo que potencialmente puede explicarlo en el cerebro”, apuntó. “El cerebro no parece estar en un estado de recuerdo: parece estar en un estado de experiencia presente”.

Los recuerdos traumáticos parecían involucrar un área distinta del cerebro —la corteza cingulada posterior, o CCP, que por lo general está involucrada en el pensamiento internamente dirigido, como la introspección o soñar despiertos. No se conoce como una región de la memoria. Entre más severos eran los síntomas de TEPT de la persona, más actividad aparecía en la CCP.

Los hallazgos aportan a interrogante muy debatida: ¿deberían los médicos clínicos alentar a la gente con TEPT a exponerse a sus recuerdos más traumáticos? Ilan Harpaz-Rotem, coautor del estudio, dijo que revisitar el recuerdo era un elemento crucial del tratamiento.

“Ayudas al paciente a construir un recuerdo que puede ser organizado y consolidado en el hipocampo”, dijo.

Idealmente, tales tratamientos pueden ayudar a transformar el recuerdo traumático en uno que se parezca mucho más a recuerdos tristes comunes y corrientes. “Es como poner un bloqueo en el lugar adecuado”, precisó Harpaz-Rotem. “Si puedo tener acceso a un recuerdo, sé que es un recuerdo. Sé que no me sucede ahorita”.

Si los marcadores biológicos del TEPT pueden ser identificados, eso conciliaría diferencias en cuanto a qué experiencias constituyen un trauma, indicó Brian Marx, subdirector de la División de Ciencia Conductual del Centro Nacional para TEPT, quien no participó en el estudio. Aunque la mayoría de los expertos coincide en que los accidentes automovilísticos, las agresiones sexuales o el combate militar son sucesos traumáticos, discrepan en cuanto a si experiencias como racismo o estrés pandémico deberían ser vistas como el fundamento para un diagnóstico de TEPT.

Marx llamó a la investigación “fascinante”, pero no concluyente, al señalar que no incluía un grupo de comparación de sujetos de estudio sin diagnóstico de TEPT, no especificaba hace cuánto sucedieron los acontecimientos traumáticos y no especificaba si los sujetos de estudio habían recibido psicoterapia.

Además, dijo que era improbable que pudiera resolver debates sobre si los tratamientos para TEPT debían incluir exposición a recuerdos traumáticos, porque la literatura muestra que los resultados son altamente individualizados.

“Nuestros tratamientos son imperfectos”, admitió. “No funcionan para todos del mismo modo”.

© 2023 The New York Times Company

Tags:

Notas Relacionadas