¿Es el vapeo la nueva amenaza para la salud pública y qué es EVALI en los jóvenes?
El uso de vapeadores se ha normalizado entre jóvenes, pero los expertos alertan sobre EVALI, una enfermedad pulmonar grave vinculada a estos dispositivos
- Actualizado: 07 de diciembre de 2024 a las 00:00
El uso de los vapeadores más conocidos como cigarros electrónicos se ha normalizado entre los jóvenes, por lo que la preocupación por sus efectos en la salud se intensifica. A continuación le detallamos más sobre esta amenaza.
Expertos en medicina advierten sobre la EVALI, una grave enfermedad pulmonar que se relaciona directamente con el uso de estos dispositivos. Pero, ¿qué es exactamente EVALI y cuáles son sus consecuencias?
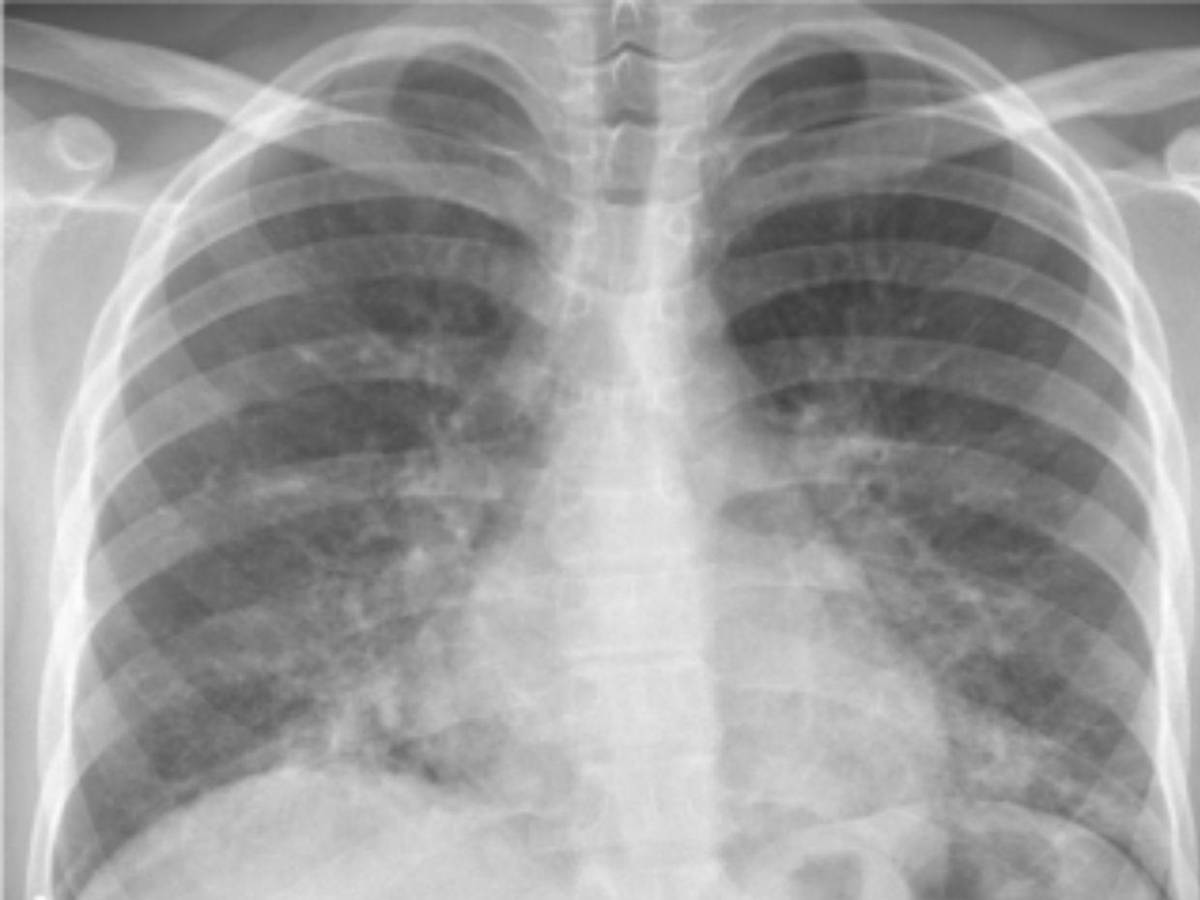
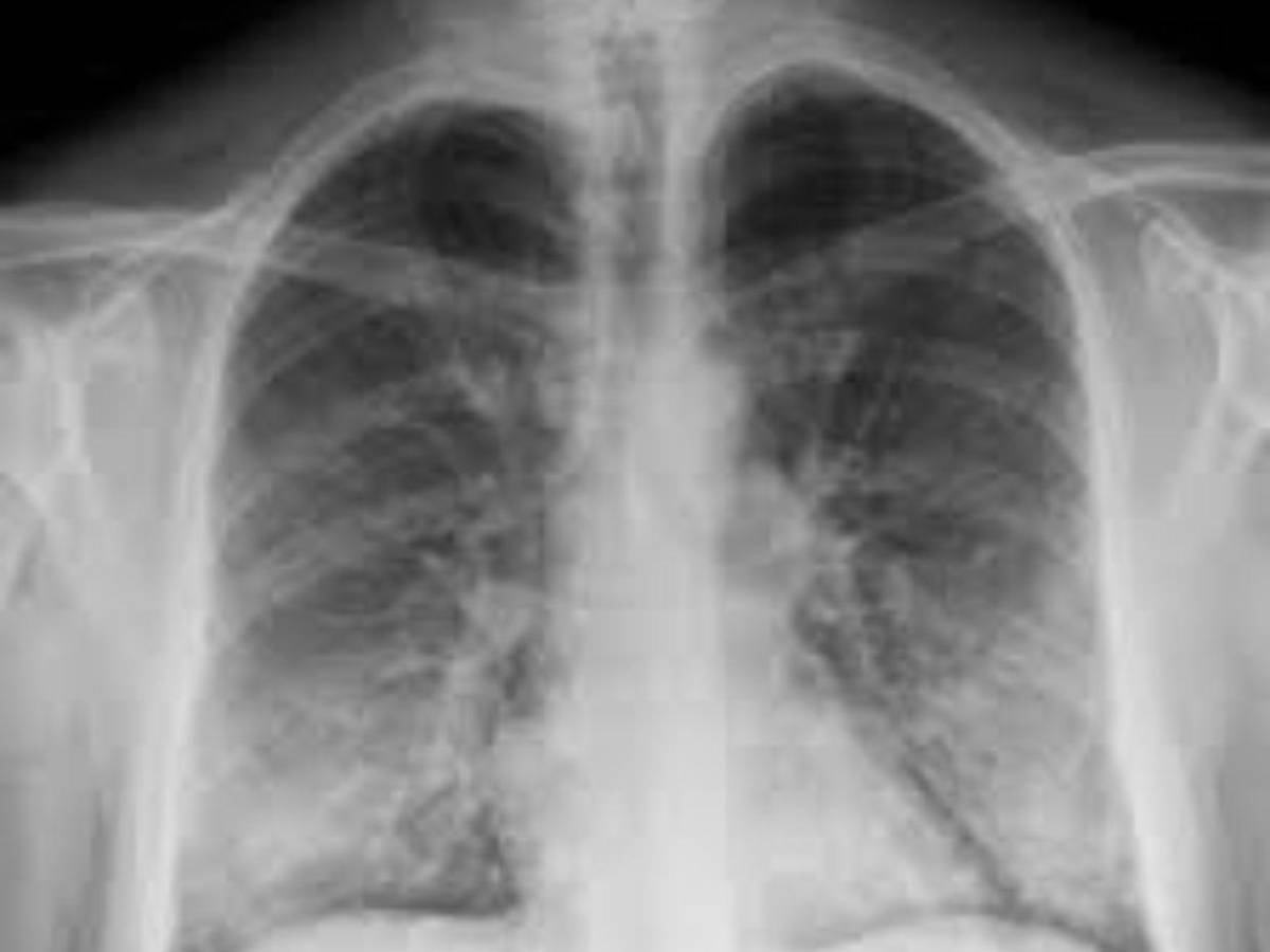
EVALI, o lesión pulmonar asociada al uso de productos de vapeo, fue identificada por primera vez en 2019 y está provocada por sustancias nocivas, siendo el acetato de vitamina E uno de los principales culpables. Según expertos en medicina, este compuesto, al ser calentado, puede causar daños severos a los pulmones, generando síntomas alarmantes en quienes vapean.
Dificultad para respirar, tos persistente, dolor en el pecho, así como náuseas, vómitos y diarrea, son solo algunos de los signos que indican la presencia de esta enfermedad.
Los afectados también pueden experimentar fiebre y una fatiga extrema que limita su calidad de vida.
Pero el impacto del vapeo no se detiene en los pulmones. El médico y creador de contenido Alex, identificado solo como “El Doc Alex”, explicó que los vapeadores aumentan el riesgo cardiovascular, lo que se traduce en una mayor probabilidad de sufrir infartos, arritmias y la temida arteriosclerosis.
Además, señaló que los líquidos utilizados en estos dispositivos contienen altas concentraciones de nicotina, lo que propicia la adicción en los usuarios.
La alarmante presencia de metales pesados y sustancias cancerígenas en los líquidos para vapear añade otro nivel de preocupación.
En respuesta a esta creciente crisis de salud, México ha tomado medidas drásticas. La Cámara de Diputados aprobó el pasado 3 de diciembre la prohibición constitucional de los vapeadores y cigarrillos electrónicos, con 410 votos a favor y 24 en contra.
“Un cartucho de un vapeador tiene el efecto de 60 cigarros. Es 10 veces más dañino que un cigarrillo y se venden sin control”, afirmó la diputada, Lilia Aguilar Gil, subrayando la urgencia de actuar ante esta problemática en México.
La presidenta Claudia Sheinbaum avala la determinación de prohibir definitivamente el uso de los vapeadores en México.
La pregunta persiste: ¿será suficiente esta medida para frenar los efectos nocivos del vapeo en la salud de la población mexicana? ¿Otros países tomarán su ejemplo? Con la prohibición también se busca restringir la fabricación y distribución de sustancias tóxicas y drogas sintéticas no autorizadas.