Eva Gallegos: Científica que erradicó el VPH al 100% en 29 mujeres
Gracias a la terapia fotodinámica de Eva Ramón Gallegos, el Virus del Papiloma Humano fue eliminado en su totalidad, sin efectos secundarios
- Actualizado: 24 de enero de 2025 a las 00:00
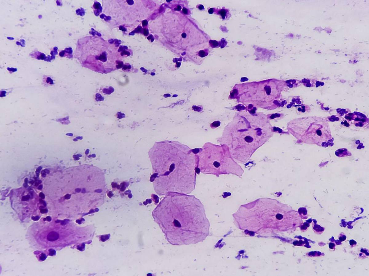
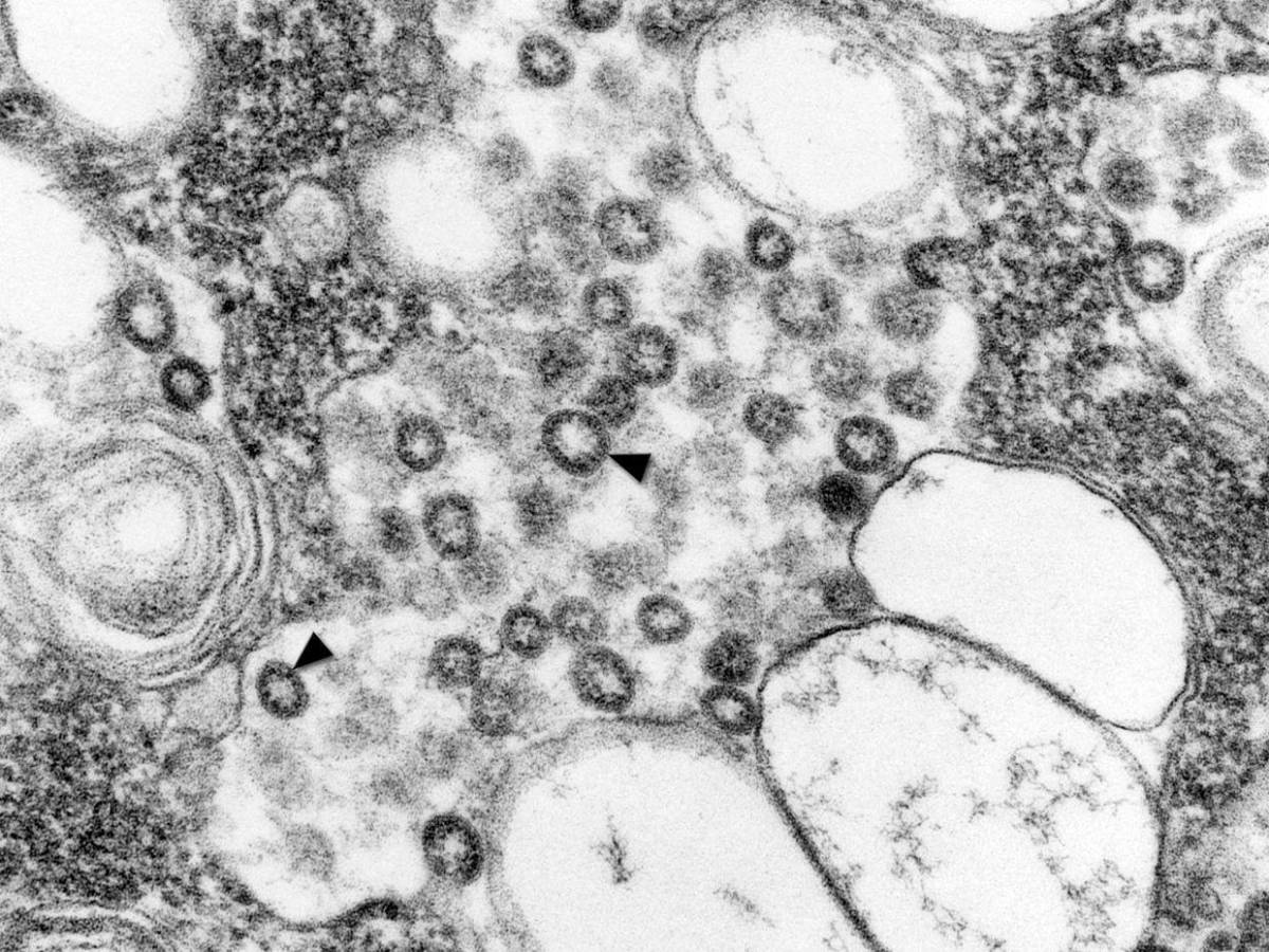
Eva Ramón Gallegos, originaria de San Juan Bautista Tuxtepec, Oaxaca, marcó un hito en la historia de la medicina al convertirse en la primera científica en erradicar al 100% el Virus del Papiloma Humano (VPH) en 29 mujeres en la Ciudad de México.
Este avance no solo destaca su extraordinario trabajo, sino que también ofrece una nueva esperanza para millones de personas afectadas por este virus.
Especialista en nanobiotecnología y ciencias biomédicas, la doctora Ramón Gallegos centró su investigación en el desarrollo de tratamientos innovadores y eficaces contra el VPH.
Su enfoque no solo permitió erradicar el virus, sino que también eliminó lesiones premalignas en etapas tempranas, consolidando su investigación como un avance significativo en la lucha contra el cáncer cervical.
La bióloga y química farmacéutica lideró este estudio desde el Instituto Politécnico Nacional (IPN), donde utilizó una innovadora terapia fotodinámica para atacar de manera precisa y eficaz el VPH.
Esta técnica, desarrollada bajo su liderazgo, ha abierto nuevas puertas en el tratamiento de esta enfermedad que aqueja a la población desde hace años.
A lo largo de su investigación, Ramón Gallegos observó que algunas mujeres presentaban una mayor efectividad en el tratamiento debido a que compartían un compuesto orgánico común.
Este hallazgo ha servido como base para profundizar en nuevas alternativas de tratamiento, ampliando el alcance de su investigación.
La terapia fotodinámica empleada en este estudio consiste en aplicar un fármaco denominado ácido delta-aminolevulínico en el cuello uterino.
Este compuesto se convierte en una sustancia fluorescente que se acumula en las células dañadas.
Posteriormente, un láser especializado actúa sobre estas células, eliminándolas de manera exclusiva sin afectar el tejido sano circundante.
Lo más destacado de este tratamiento es que ha demostrado ser completamente seguro, ya que no es invasivo y no genera efectos secundarios, a diferencia de los métodos tradicionales.
Además, la terapia fotodinámica se puede personalizar para cada paciente, lo que incrementa su eficacia y precisión, adaptándose a las necesidades individuales de cada mujer.
Este trascendental avance refuerza el potencial de la terapia fotodinámica como una alternativa segura y eficaz frente a las lesiones provocadas por el VPH, y abre la puerta a nuevas líneas de investigación para otros tratamientos biomédicos.